ご予約・お問い合わせ0964-32-5801
休診日:木・日・祝祭日※当院は予約制です
ご予約・お問い合わせ0964-32-5893
休診日:日・祝祭日※当院は予約制です
当院について
医師紹介
診療内容
Q&A
お問い合わせ
お知らせ
研修医の受け入れ
ABOUT US
私が一番大切にしていることは、病に冒された人の心の治療です。 心の健康なくして、幸せな人生はおくれないのではないだろうか。 もちろん、一本一本の歯の健康を回復・維持することは歯科医師として 大切なことではあるのですが、私は歯、口腔周囲の治療を通じて、 地域の皆様の幸せのお手伝いができれば幸いであると思っています。
SERVICE
安心・安全な診療体制を確立し、患者様中心の治療を行なっております。
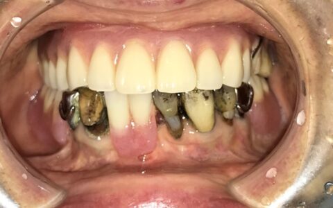
インプラント治療には、専門的な知識と経験が必要です。 当院では、日本口腔インプラント学会の資格取得者が修正、治療にあたります。
歯や口元はその方の印象を決める重要な要素です。 美しい歯・口元を提供するのも私達の役目です。
私たちは、歯及び口腔周囲の快適を考えた歯科治療を目指しています。 週に一度ドクターカンファレンスを行い、お一人お一人の治療計画を立てて、それに基づいたご提案を行っています。
特別な訓練を受けた専門の歯科衛生士により、器具と研磨剤(フッ素含有研磨用ペースト)を使って、歯面のプラーク、着色や汚れを除去する方法です。
ご自身での通院が困難な方のために、 ご自宅や病院・施設に、歯科医師・歯科衛生士が訪問して、歯科診療をします
NEWS
2026.03.05
重要なお知らせ
休診日変更のお知らせ
2025.12.26
当院からのお知らせ
一年のお礼のご挨拶
年末年始休診中の受診について
2025.12.25
ポスター発表をおこないました
2025.12.01
休診日のお知らせ
年末年始中の休診のお知らせ
COLUMN
2026.04.28
ホワイトニング
ホワイトニング前に知りたい!着色しやすい歯の部位とは?
2026.04.23
予防歯科
予防歯科って何?〜「痛くなる前に通う」歯医者の考え方〜
虫歯について
虫歯はなぜできる?毎日のケアで防ぎたい身近な病気
2026.04.22
歯周病
将来のための歯ぐきケア
2026.04.17
歯列矯正
歯列矯正を始めたい方へ ~始める前に知っておきたいこと~
歯ぐきが下がってきた…それは歯周病のサインかもしれません